歯周病とは
<注意! 見て見ぬふりをしていませんか?>
1) 歯磨きをすると血が出る。
2) 歯茎の色が赤い、はれている。
3) 歯茎を押すと膿が出る。
4) 歯が浮いた感じがする。
5) 歯がぐらぐらする。
6) 口臭がある。
上記のような症状が見られる場合は歯周病である疑いがあります。
歯周病は、日本人が歯を失う原因NO1の病気です。また、歯を襲うだけではない、身体全体にかかわる病気であることがわかってきました。
歯周病とは歯肉炎や歯槽膿漏などの歯の周りの病気の総称です。歯垢や歯石が原因で歯肉に炎症をおこし、進行すると歯を支えている骨(歯槽骨)を溶かしてしまいます。
歯周病原因菌が、食事の際に唾液と一緒になって体内に入り込んだり、歯肉の毛細血管から全身の血液中に入り、数々の病気の原因になります。寝たきりの高齢者の誤嚥性肺炎による死亡の原因としても挙げられています。動脈硬化・心筋梗塞・狭心症、脳血栓・脳梗塞や糖尿病、未熟児出産・早産などを引き起こすことがあると言われています。
「歯が無くなっちゃってもしかたない」だけでは済まない、怖い病気「歯周病」にどうやって立ち向かったらよいのでしょう。ご一緒に考えていきましょう。
初期の歯周病~軽度の炎症

・歯肉に軽度の炎症 ・歯ブラシなどで出血 ・痛み・腫れはない
このとき自覚症状は殆どありません。成人の約80%以上が歯周病という統計報告があります。
自覚がないまま静かに慢性的に進行していくのです。この状態を放置すると歯と歯茎のあいだの封鎖がこわれ隙間(歯周ポケット)が生じます。この段階で病変を見つけ、早期に適切な治療を行うことが大切です。歯を無くさない、歯周病菌による病気にかからないために見逃さないよう注意しましょう。
進行した歯周病~歯周ポケット

・歯周ポケットの数値4~6ミリ ・骨が部分的に溶ける
・歯が動く、歯並びがずれる ・痛みや腫れはあまりない
初期の歯周炎が見過ごされると病変が進行してゆきます。歯周ポケットも大きくなり、レントゲンで骨が溶けていることがわかることもあります。
病変の進行にもかかわらず見過ごしてしまうのは、”痛みや腫れもあまりない”ことによります。歯科医院での定期的なケアができれば安心です
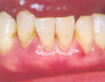
重度の歯周病

・歯がグラグラする ・歯並びがガタガタになる ・口臭がひどくなる
重度の歯周病にかかるとこのような症状が見られます。
臭いがして見た目も悪くなります。
ここまで進行すると、何本か抜歯する覚悟も必要となる場合もあります。この前に食い止められれば、歯を失わずに済むのです。
歯周病の小手術について
歯周病の治療過程で、小手術を行う場合があります。
歯周ポケットの中の歯根面を明視下で清掃することができ、付着した歯石やプラークを確実に除去します。直接見えない部分であり、通常の清掃では手探りで限界があるために、この小手術が有効です。加えて歯周ポケットの除去を行うことができます。
切除療法(病変部を確実に取り除く)と再生療法(失われた歯周組織の再生をはかる)があります。患者様とご相談の上、状況にあわせて方法を決定します。

歯周病治療では、患者様自身の毎日のケア~歯磨きが成功につながります。
よしもり歯科医院では、お一人お一人の歯並びや歯周の状態に応じて、適切な歯磨きの方法を歯科衛生士が指導いたします。
定期的なケアの重要性
適切な治療を受けると、歯肉の炎症がなくなり口腔内健康を取り戻すことができます。
しかし、そこで通院をやめてしまうと多くの場合、歯周病が再発することが報告されています。
1~3ヶ月に1回のペースで、歯科医院で定期的にチェックを受けることをおすすめします。
・歯肉の状態の確認
・ホームケアの状態の確認
・磨きにくい・汚れが取れにくい部位の清掃
このようなケアを定期的に受けることにより、口の中、歯の周りの変化を早期発見できます。
お口の中をきれいにし、気持ちよくなるのがこの定期的なケアです。治療とは違う気軽な気持ちで受けてください。


HOME








プライパシーポリシー
サイトマップ